Растяжение колена

Коленный связочный аппарат помогает выдерживать повышенную нагрузку на сустав, действуя как амортизатор. С помощью связок человек может поддерживать не только свой вес, но и свой вес сверху. Растяжение колена провоцируют большие нагрузки на сустав, вызывающие резкую и сковывающую боль. Продолжительность реабилитации будет зависеть от причины травмы, степени травмы и скорости оказания помощи. Что вызывает растяжение …

Все о хронической форме бронхита

Хронический бронхит (ХБ) — это прогрессирующее заболевание с диффузным поражением дыхательных путей, сопровождающееся кашлем и повышенным образованием слизи в бронхиальном дереве. Считается, что человек болен CD, если он или она имеет продуктивный кашель не менее трех месяцев в году в течение двух лет подряд. Следует исключить другие причины, по которым может присутствовать этот хронический кашель: …

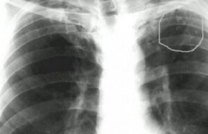
Все о сегментарной пневмонии у детей

Пневмония поражает все или части легких, в зависимости от типа заболевания. Тип пневмонии, называемой сегментарной пневмонией, возникает, когда сегмент или часть сегмента легкого частично поражены болезнью. Место, где возникает воспаление, называется очагом. Полисегментарная пневмония, как следует из названия, характеризуется наличием нескольких очагов воспаления, охватывающих разные сегменты. Прочтите статью ниже для получения еще более полезной информации. …

Что такое приступ бронхиальной астмы

Как протекает приступ Аллергены, бактериальные и вирусные инфекции, стресс, холодный воздух или чрезмерные физические нагрузки могут вызвать приступ астмы. В ходе приступа можно выделить три периода: предвестник, развитие жара и ретроградное развитие. В вводный период наблюдаются выделения из носа и частое чихание. Для острого периода характерны: беспокойство, затрудненная речь; громкие хрипы; одышка с затрудненным дыханием; …

Выявление первичного туберкулезного комплекса (ПТК)

Раннее выявление синдрома первичного туберкулеза — сложная задача даже для современной медицины. Заболевание не имеет специфических симптомов, а симптомы считаются признаками острой респираторной инфекции или пневмонии. Первые подозрения на ошибочный диагноз и возможное наличие туберкулеза появляются только после нескольких недель безуспешного лечения антибиотиками от «пневмонии». Общая информация Первичный туберкулезный комплекс (ПТК) — один из клинико-морфологических …

Гепариновая мазь при ушибах и синяках

Гепариновая мазь от синяков неспроста считается универсальным средством. Он способствует рассасыванию образовавшейся гематомы, устраняет отек травмированного участка и значительно снижает болевые ощущения. Этот препарат очень популярен благодаря своей способности в короткие сроки лечить последствия различных травм. Фармакологические свойства мази Основной компонент препарата — гепарин натрия. Обладает выраженным антикоагулянтным действием, замедляет процесс свертывания крови и предотвращает …

Перелом тазобедренного сустава

Перелом бедра — одна из самых серьезных травм, диагностируемых у подавляющего большинства пожилых людей. Из-за сложной структуры и потери прочности кости заживают медленно и требуют длительной реабилитации. Опасность такого типа перелома заключается в риске развития различных осложнений. Анатомия тазобедренного сустава Тазобедренный сустав имеет сферическую форму и соединяет бедренную кость с вертлужной впадиной тазовой кости. В …

Как лечить пневмонию у ребенка до года

Пневмония у детей до 1 года требует особого внимания и своевременных соответствующих мер в связи с особенностями строения детского организма. Недоразвитие легочной ткани, преобладающее положение лежа (у детей до 3 месяцев), несовершенная иммунная система, а также различные нарушения функционирования организма, например, рахит, осложняют течение заболевания, повышая риск серьезных последствия. В возрасте до одного года заболевание …

Как определить перелом пальца на ноге

Часто люди не знают, насколько сильно они повредили конечность и как распознать сломанную ногу и отличить ее от синяка или простого растяжения. Предполагая, что это легкая травма, люди часто ничего не делают, пока не обратятся к врачу. Часто перелом розового пальца принимают за синяк, думая, что травма незначительная, люди вообще не обращаются к врачу. Но …

Что характерно для острых и затяжных пневмоний

Острый воспалительный процесс в паренхиме и интерстиции легких, вызываемый в основном инфекционными агентами, называется острой пневмонией. Заболевание начинается внезапно, внезапно, симптомы быстро нарастают, воспаление прогрессирует. Продолжительность острой формы патологии составляет около трех недель, подострой — до шести недель. Переход в хроническую форму свидетельствует о том, что диагноз не был поставлен вовремя или было выбрано неправильное …