Почему больным ставят диагноз пневмония вместо коронавируса

Новая коронавирусная инфекция COVID-19 характеризуется широким распространением, относительно высокой смертностью и в некоторых случаях тяжелым течением. Поэтому крайне важно правильно поставить диагноз и своевременно начать лечение. В статье подробно рассматривается специфика диагностики коронавирусной пневмонии. Особенности диагностики Коронавирусная инфекция имеет особое эпидемиологическое и социальное значение. Первая эпидемия, зарегистрированная в 2002-2003 гг., Поразила 29 стран. Число погибших …

Особенности диагностики и симптомы бронхиолита

Диагноз бронхиолита ставится на основании клинической картины и патогенеза заболевания, патогенез которого включает поражение нижних дыхательных путей и нарастание дыхательной недостаточности. Участие в процессе капиллярной сети и нарушение газообменной функции в легких во многом усложняет диагностику. Современные методики диагностики бронхиолита позволяют своевременно диагностировать заболевание и исключить его серьезные последствия. Симптомы у детей и взрослых Суть …

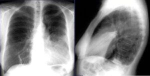
По каким симптомам можно распознать пневмонию

Вспышки пневмонии «любят» зимние и весенние месяцы. Пневмония не редкость, поэтому вы должны знать о ее первых признаках и симптомах. Почему-то большая часть граждан обращается к врачу, когда все симптомы пневмонии присутствуют в полной мере. Осложнений можно избежать, если провести грамотную самодиагностику. В этой статье мы разберемся, какие симптомы «сигнализируют» о возможной пневмонии. Первые признаки …

Показатели анализа крови при пневмонии у ребенка

При диагностике пневмонии у детей, помимо клинического обследования и рентгенографии грудной клетки, проводятся различные виды тестов, от простых анализов крови до ПЦР-тестов для выявления конкретных патогенов. В следующей статье мы кратко рассмотрим методы диагностики и обсудим изменения общего анализа крови и COE, характерные для пневмонии. Виды исследований Родители хорошо знают своего ребенка и поэтому при …

Разрыв внутренней боковой связки коленного сустава

Травма или разрыв коллатеральной связки коленного сустава считается довольно частой травмой. Это могло произойти из-за халатности или несчастного случая. Часто это вызвано падением или прямым ударом по колену. Вероятность разрыва внутренней коллатеральной связки выше, чем у внешней, но она также может быть повреждена. Чтобы снизить риск негативных последствий, важно как можно скорее обратиться за медицинской …

Что будет, если не лечить бронхит

Воспалительный бронхит как самостоятельное заболевание не является опасной патологией. Без надлежащего лечения бронхит может привести к осложнениям, часто опасным для жизни. Чаще всего заболевание поражает дыхательную систему, но иногда возникают внелегочные осложнения. Из этой статьи вы узнаете, что может перерасти в бронхит, а также ответим на вопросы, опасно это заболевание или нет и может ли …

Способы облегчения отхождения мокроты при бронхите

Бронхит — это воспаление слизистой оболочки бронхов, сопровождающееся кашлем с отхождением мокроты. Характеристики последних отражают особенности течения болезни, и в зависимости от цвета и консистенции экссудата врач подбирает лечебную тактику. Из этой статьи вы узнаете, что немедикаментозная терапия и препараты с разными механизмами действия используются для улучшения отхождения мокроты. Причины появления Слизистая оболочка, выстилающая внутреннюю …

Ушиб запястья

Ушиб запястья — довольно частая травма верхних конечностей, которая помимо боли может привести к серьезным последствиям. Поэтому отказываться от посещения врача и прохождения лечения не стоит, ведь от этого зависит, насколько быстро произойдет полное выздоровление. Особенности травмы запястья Рука чаще всего повреждается из-за подвижности. Запястье находится между предплечьем и кистью. Он состоит из двух рядов …

Патогенез и этиология бронхиальной астмы

Бронхиальная астма (БА) чаще всего встречается в детском и подростковом возрасте. Заболеваемость этим заболеванием растет во всем мире. Для раннего выявления и эффективного лечения важно понимать причины (этиологию) и развитие (патогенез) астмы. Об этом подробно рассказывается в этой статье. Эпидемиология Бронхиальная астма — хроническое заболевание сложного происхождения, характеризующееся спазмом гладких мышц бронхов, отеком слизистой оболочки …

Как распознать и избавиться от кашля при бронхиальной астме

Бронхиальная астма (БА) имеет много разных симптомов. Одна из необычных форм болезни — кашель. Не всегда легко распознать и лечить. Чтобы разобраться в причинах и симптомах кашля при бронхиальной астме, предлагаем прочитать статью. Астматический кашель Астматический кашель встречается при всех формах заболевания. Иногда это единственная жалоба больных астмой. Характерные симптомы астматического кашля при приступе: Он …