Вывих шейного позвонка у ребёнка

Из всех травм позвоночника наиболее опасными являются растяжения и вывихи шейных позвонков. Несмотря на то, что на первый взгляд эта ситуация может показаться не такой серьезной, ее последствия иногда бывают весьма плачевными. Часто травма сопровождается смещением и даже переломом отдельных сегментов. Более того, в некоторых случаях диагностируется травма спинного мозга, которая уже заканчивается летальным исходом. …

Что нужно знать о лечении застойной (гипостатической) пневмонии

Гипостатическая или застойная пневмония — пневмония вторичного типа. Специфика этого воспалительного процесса и его отличие от первичной пневмонии — обострение соматических недугов. То есть патология развивается у пациентов, предрасположенных к заболеваниям дыхательной системы, а также у пациентов, длительное время лежащих на кровати. Классификация по МКБ-10 Согласно Международной классификации болезней Десятого Конгресса, гипостатическая пневмония — это …

Описание основных методик проведения массажа при бронхиальной астме

Астма — хроническое заболевание, которое нельзя полностью вылечить. Однако не стоит рассматривать это заболевание как приговор: создано большое количество терапевтических схем, в которые входят лекарства, лечебная гимнастика и физиотерапия. Дополнительно специалисты применяют лечебный массаж, положительно влияющий на организм пациента. Какие техники массажа существуют и всегда ли их можно использовать? Общая информация Массаж груди дополняет реабилитацию …

Что такое бронхит у детей

В 10-й редакции Международной классификации болезней (МКБ-10) бронхит перечислен в разделе J20-J42. Эта статья объяснит, что такое бронхит у детей и как его лечить, а также его основные симптомы. Классификация Бронхит — заболевание достаточно хорошо изученное. Они делятся по многим характеристикам, но не все существующие классификации имеют клиническое значение. В зависимости от характера течения болезни …

Почему важно начать лечение пневмонии у беременной женщины

Пневмония (или пневмония) у беременных — это заболевание, которое ставит под угрозу здоровье матери и плода и ставит под сомнение успешность рождения ребенка. Если своевременно не начать лечение, существует риск выкидыша на ранних стадиях развития плода, а также возможность преждевременных родов в третьем триместре. Поэтому важно не только своевременно посетить врача, но и знать, какие …

Какие существуют способы определения рака легких

Рак легкого часто протекает бессимптомно — у пациентов долгое время не бывает кашля, одышки, боли или других недугов. Характерные симптомы появляются, когда заболевание уже запущено. Для ранней диагностики и определения степени прогрессирования патологии необходимо знать особенности симптоматики, характерные черты кашля и одышки при опухолевых заболеваниях. Симптомы на ранних стадиях Развитие злокачественных новообразований легких проходит в …

Genes: белок PAX3 способствует прогрессированию меланомы

Ученые из Медицинской школы Бостонского университета установили, что белок PAX3 способствует прогрессированию меланомы (рака кожи), поддерживая рост, миграцию и выживание опухолевых клеток. Ученые объяснили, что PAX3 является фактором транскрипции – он регулирует активность генов, «включая» или «выключая» их в нужный момент. Он делает это с помощью двух своих структурных участков — парного домена и гомеодомена. …

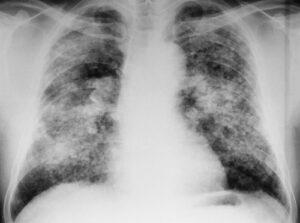
Снимки легких при туберкулезе

С момента открытия рентгеновских лучей (рентгеновских лучей) он активно внедряется во все области медицины, и фтизиология не является исключением. Поскольку легкие у больных туберкулезом имеют отличительные особенности, радиологические методы стали применяться для диагностики, наблюдения за динамикой процесса и профилактики. Перечень визуализационных методов исследования Для диагностики туберкулеза используются следующие анализы: флюорография; Рентгеновская радиография; компьютерная томография (КТ). …

Симптомы, диагностика и лечение туберкулезной интоксикации

Туберкулезное отравление — это форма первичного туберкулеза легких, предшествующая развитию локальных очагов инфекции. Сопровождается нарушением функции различных органов и систем, ухудшением общего самочувствия и самочувствия. Развитие туберкулезного отравления чаще фиксируется в детском и подростковом возрасте. В зависимости от длительности течения и выраженности симптомов выделяют 2 формы туберкулезного отравления: Ранняя форма — патологический процесс развивается впервые …

Что можно и что нельзя при пневмонии

Пневмонию часто лечат в условиях больницы, чтобы обеспечить постоянный уход за пациентом и избежать заражения здоровых людей вокруг него. Однако пневмонию также можно лечить дома. Помимо методов лечения, в таких случаях очень важно иметь четкое представление о том, что можно, а что нельзя делать при пневмонии, о которой пойдет речь в этой статье. Особенности диеты …