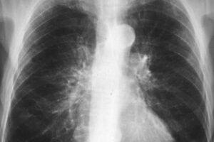
Определение и особенности центрального рака легких

Рак среднего легкого (CLC) — наиболее распространенная форма рака легких. Выявляется в 70% случаев. Ранние стадии РГК имеют клинические симптомы, типичные для других бронхолегочных заболеваний, поэтому чаще всего выявляются на 4 стадии. В статье рассматриваются симптомы, являющиеся поводом для обращения к врачу, методы диагностики и лечения ССВ. Общая информация и код МКБ 10 Рак среднего …

Лечение прикорневой пневмонии у детей

Высокая восприимчивость детей к различным инфекционно-воспалительным процессам является следствием их слабого и неразвитого иммунитета. Одна из самых опасных патологий — бронхопневмония. Заболевание коварное, ведь вовремя поставить диагноз сложно, так как воспаление находится в необычном месте — в корне легкого. Как протекает патология, как распознать первые симптомы? Узнайте об этих и других функциях в этой статье. …

Отек при переломе руки

Опухание руки почти всегда вызвано переломом. Однако отек поврежденной конечности появляется не только после перелома, но часто и после снятия гипса. Однако, чтобы рука оправилась от травмы, необходимо бороться с отеком, так как длительный отек тканей может привести к развитию серьезных осложнений. Причина отека после перелома Отек тканей возникает в результате поражения определенных участков кровеносной …

Лечение деструктивной пневмонии у ребенка

Детская деструктивная пневмония — это очаговая или эмболическая форма пневмонии, характеризующаяся некрозом и гнойным выпотом легочной ткани. По статистике, детские заболевания составляют 10% от общего числа пневмоний. Помимо стафилококковой инфекции, вызывающей заболевание в 30% случаев, болезнь провоцируют вирусы гриппа (до 50%) и пневмококки (25%). Особенности Характерным признаком деструктивной пневмонии является образование полостей в легочной ткани. …

Способы профилактики бронхиальной астмы

Профилактика бронхиальной астмы может предотвратить развитие болезни у детей и взрослых из группы высокого риска. Это также помогает предотвратить ухудшение вашего здоровья и прогрессирование болезни. Общая информация Бронхиальная астма — гетерогенное заболевание, возникновение которого определяется взаимодействием генов. Многие факторы окружающей среды, как биологические, так и социологические, могут играть важную роль в развитии болезни. К ним …

Характерные признаки и симптомы бронхиальной астмы

Симптомы Астма — хроническое заболевание, при котором обострения чередуются с периодами ремиссии. Помимо обострений заболевания, клинических симптомов может не быть. Первые симптомы, позволяющие заподозрить обострение астмы, включают: Сильный сухой кашель с небольшим количеством липкой стекловидной мокроты, выделяемой в конце приступа; Частое затрудненное дыхание (особенно в фазе выдоха); хрипы, сухой свистящий звук даже на расстоянии. Характерный …

Сколько длится температура и кашель после пневмонии у ребенка

Если после лечения пневмонии симптомы дискомфорта не исчезнут, важно обратить на них внимание. В этой статье мы рассмотрим остальные симптомы (и те, которые не принимаются во внимание), которые возникают после перенесенной пневмонии. Наиболее частыми из них являются субфебрильная температура и остаточный кашель. Сколько длится и почему не проходит кашель? Кашель у детей возникает из-за купирования …

Причины и лечение нейроэндокринной карциномы (мелкоклеточного рака) легких

Нейроэндокринный рак легкого (NERLC, NELC) относится к сложной и чрезвычайно разнородной категории злокачественных новообразований эпителия, в том числе рака различной степени дифференцировки. В эту группу онкологических заболеваний входят типичные и атипичные карциноиды, а также крупноклеточные и мелкоклеточные опухоли. Общая информация Нейроэндокринные новообразования легких и бронхов составляют 27% всех вариантов SEO, занимая второе место по частоте …

Применение электрофореза при бронхите

Физиотерапия — это лечение тела с помощью физических средств, таких как движение, тепло, свет и лучистая энергия и вода. Физиотерапия при бронхите у взрослых включает ряд сложных процедур, которые используются либо поочередно, в несколько курсов, либо одним курсом (монокурс). Взрослым пациентам обычно назначают комбинированное лечение: фармакологическое — применение лекарственных препаратов, комбинированное с дополнительными мероприятиями — …

Развитие пневмонии на ИВЛ

Вентиляция, или искусственная вентиляция легких, — это экстренная процедура искусственного дыхания и газообмена в легких. Вентиляция также используется при тяжелых формах пневмонии, когда дыхательная недостаточность достигает пика и у пациента развивается гипоксия. Иногда, наоборот, пневмония развивается как вторичное заболевание на фоне использования искусственной вентиляции легких, например, после операции. Воспаление из-за искусственной вентиляции легких Хотя искусственная …