Ушиб мизинца на ноге

Никто не застрахован от травм такого типа. Ушибленный розовый палец вызывает резкую боль и множество неприятных моментов. Не позволяйте процессу заживления идти сам по себе, это может привести к серьезным последствиям. Особенности строения мизинца Этот палец имеет довольно сложное строение. Наиболее подвержены травмам мелкие кости и тонкие сухожилия. Ногтевая пластина небольшого размера, а значит, может …

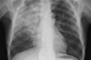
Принципы дифференциальной диагностики пневмонии

Пневмония имеет серьезные симптомы и может привести к серьезным осложнениям и даже смерти. По этой причине очень важно своевременно обратиться к врачу для постановки диагноза и постановки точного диагноза. Диагностика наиболее важна при лечении болезни, поскольку существует множество патогенов. Успех лечения зависит от результатов диагностики. Симптомы и критерии воспаления легких у взрослых Клиническая картина заболевания …

Лучшие лекарственные травы и сборы от бронхита у взрослых

Комплексное лечение бронхита предполагает использование различных лекарственных трав, компонентов природного происхождения. Травы подбираем сами с учетом проверенных рецептов, либо покупаем в аптеке готовый сбор от бронхита. При использовании таких мер всегда необходимо учитывать противопоказания к их применению. Лечебные сборы и настои При бронхите травы применяют самостоятельно или в составе многокомпонентного сбора. Из растений получают отвары, …

Утром или вечером: микробиолог объяснил, когда лучше всего принимать душ

На эту тему нередко спорят По словам учёного, существует чёткий ответ на вопрос о том, когда нужно принимать душ. Вот что сейчас известно на этот счёт. © Unsplash/CC0 Public Domain В течение дня наши тело и волосы собирают загрязняющие вещества и аллергены, а также накапливают пот и кожное сало. Принятие душа вечером поможет удалить часть …

От чипсов к депрессии: диетолог подтвердила существование такой связи

Часто таким способом добиваются «быстрой радости» Диетолог Дарья Русакова прокомментировала исследования американских учёных в журнале Genomic Press о том, что чипсы вызывают депрессию. Впрочем, другой фаст-фуд тоже может приводить к этому состоянию. © Esperanza Doronila / Unsplash По словам Русаковой, российских исследований на эту тему нет, однако люди, склонные к депрессии или расстройствам пищевого поведения, …

Что такое посттравматическая пневмония

Травматическая пневмония (ТПН) — воспаление легких, развивающееся в результате травмы грудной клетки. В этом случае воспалительный процесс в легких развивается как осложнение травмы (вторичная пневмония), так как создает благоприятные условия для размножения микроорганизмов. Согласно МКБ-10 травматическая пневмония имеет код J09-J18. Этиология и патогенез В развитии травматической пневмонии, как и любой другой пневмонии, основное место занимают …

Причины (этиология) пневмонии

Пневмония — собирательное название большой группы заболеваний, имеющих общую клиническую картину и схему лечения. Причины варьируются от психосоматических и внутренних ожогов легких до попадания частиц пищи в легкие. Большинство причин по-прежнему носят инфекционный характер. В этой статье мы подробно рассмотрим этиологию заболевания. О патогенезе в другой статье. Причины, из-за которых может быть воспаление легких Пневмония …

Лечение и диагностика подвывиха шейного позвонка

Подвывих шейки матки — это аномальное смещение соседних позвонков. Это явление встречается как у взрослых, так и у детей. Важное условие при подвывихе — обращение за квалифицированной медицинской помощью. Самолечение может только усугубить ситуацию. Причины патологии Причины подвывиха шейных позвонков могут быть разными. К ним относятся: Резкий поворот головы. Этот фактор особенно характерен для детей …

Симптомы и первые признаки бронхита

Клинический бронхит — это заболевание дыхательных путей, при котором очаг воспаления располагается на слизистой оболочке или на всех слоях бронхиальной стенки среднего и большого калибра. В зависимости от этиологического фактора, спровоцировавшего заболевание, состояния иммунной системы, сопутствующих патологий, симптомы бронхита различаются. Однако в большинстве случаев симптомы бронхита представлены кашлем (сухим или влажным), повышением температуры тела и …

Все о микоплазме пневмонии

Mycoplasma pneumoniae у взрослых — это атипичная пневмония, при которой воспалительный процесс запускается бактериями из рода Mycoplasma. Среди внебольничных пневмоний эта патология довольно распространена и составляет более 1/3 всех небактериальных поражений легких. Заболевание может носить единичный (эпизодический) или массовый (эпидемический) характер. Пик заболеваемости приходится на холодное время года (осень, зима). Особенно подвержены заболеванию дети и …