Рубрика «Заболевания и лечение»

Какая одышка характерна при приступах бронхиальной астмы

Для бронхиальной астмы характерен комплекс симптомов, на первом плане проявляются приступы одышки. Помимо приступа, наблюдается сухой или непродуктивный кашель, стеснение в груди и одышка при физических нагрузках и в покое. Последний симптом чаще всего приводит пациентов к врачу, так как нехватка воздуха значительно ухудшает качество жизни. Как проявляется одышка и как остановить приступ одышки? Общая …

Что такое ступенчатая терапия бронхиальной астмы

Рост заболеваемости бронхиальной астмой требует совершенствования методов диагностики и терапии этого заболевания. Поэтому они разработали пошаговый подход, который является всемирно признанной тактикой лечения астмы. Правильный подбор препаратов позволяет снизить выраженность симптомов, снизить риск обострений и улучшить качество жизни пациента. Общая информация Поэтапная терапия была внедрена во всем мире после 1995 года, когда рабочая группа Глобальной …

Дыхательная гимнастика, ЛФК и физиотерапия при бронхиальной астме

Бронхиальная астма требует длительного лечения, как фармакологического, так и немедикаментозного. В этой статье мы рассмотрим немедикаментозные методы лечения астмы. Общая информация В лечении бронхиальной астмы, помимо приема медикаментов, используются дыхательные упражнения, лечебная гимнастика, физиотерапия. Эти немедикаментозные методы лечения могут облегчить состояние пациентов, уменьшить количество приступов, а в некоторых случаях даже уменьшить потребность в лекарственной терапии. …

Как расшифровать результат Манту у ребенка

Проба Манту уже давно является самым популярным методом диагностики туберкулина в мире. Он получил широкое распространение благодаря невысокой стоимости, небольшому количеству противопоказаний и побочных эффектов, а также высокой диагностической ценности. Первая проба Манту может быть сделана через месяц после вакцинации БЦЖ. Однако для постановки правильного диагноза необходимо уметь интерпретировать результаты реакции, которые могут быть самыми …

Химический ожог пищевода щелочью

Химические ожоги пищевода — это повреждения стенок пищевода, вызванные случайным или преднамеренным применением вредных химических веществ. В медицине это явление называется разъедающим эзофагитом. Этиология явления Статистика отравлений показывает, что с большей вероятностью попадут в организм следующие химические вещества, вызывающие ожоги пищевода: Кислоты — уксусная эссенция, серная кислота и соляная кислота; Щелочь — каустическая сода, каустическая …

Польза физиотерапии при пневмонии

Физиотерапия — это метод лечебного воздействия на организм человека с помощью естественных или искусственно созданных факторов окружающей среды. Правильное лечение пневмонии может быть чрезвычайно эффективным, а неправильный — вредным. Важно знать показания и противопоказания для каждого метода. Взгляните на эту статью — мы собрали в ней все, что вам нужно, с пояснительными ссылками! Физиолечение воспаления …

Особенности “Клебсиелла пневмония” у беременных

Пневмония — это заболевание, при котором легочная ткань воспаляется. В большинстве случаев патологический процесс начинается, когда болезнетворные бактерии, такие как пневмококки и стафилококки, атакуют легкие. Однако в редких случаях возбудителем является Klebsiella pneumoniae (или Klebsiella). Развитие этого вида заболевания у беременных грозит серьезными нарушениями и угрожает здоровью плода. Особенности развития болезни Klebsiella pneumoniae, тип пневмонии, …

Хирургическое лечение туберкулеза легких

Хирургическое лечение туберкулеза применяют при деструктивных формах заболевания и при неэффективности полихимиотерапии. Часто из-за лекарственной устойчивости заболевание продолжает прогрессировать и приводит к смерти, даже при продолжающемся применении противотуберкулезных препаратов. В таких случаях операция — единственный способ избежать смерти и вернуться к полноценной жизни. Показания для операции Все хирургические вмешательства делятся на три группы в зависимости …

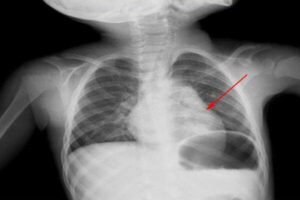
Особенности пневмонии у детей 1, 2 и 3 лет

Пневмония часто развивается после длительной простуды или неадекватного лечения, но может развиваться и сама по себе. В этой статье мы подробно рассмотрим пневмонию у детей 1-3 лет, ее особенности, симптомы и лечение. Особенности по возрастам Наиболее подвержены развитию пневмонии маленькие дети. Это связано с тем, что иммунная система растущего организма еще не сформирована, дыхательные мышцы …

Первая помощь при ране стопы

Даже самая небольшая травма стопы доставляет большой дискомфорт при ходьбе. Эта часть стопы участвует в движении, балансе тела и амортизации при беге и прыжках. Из-за регулярных физических упражнений травмы стопы довольно распространены и мешают вести нормальный образ жизни. Причины травмы могут быть разными: от банального прокола поверхности до серьезной травмы. Виды ран стопы Травмы стопы …